The Complete Guide to Dental Crowns: Types, Costs & Care

Dental Crowns Marco Island, FL

A dental crown protects a damaged tooth and restores shape, strength, and appearance. Crowns cover the entire visible portion, shielding cracks, large fillings, and worn enamel while improving function. Dentists use crowns to rebuild biting surfaces, anchor bridges, and finish implants. This guide explains when crowns are a suitable option, material choices, treatment steps, costs, and proper care. With clear expectations and solid habits, patients maintain comfort and avoid repeat work.

When a dental crown makes sense

Dentists recommend crowns when decay compromises more than a filling can support, when cracks threaten a cusp, or after root canal therapy. A dental crown also strengthens teeth with heavy wear, large fractures, or severe discoloration that bonding or veneers cannot reliably correct. Athletes and patients who grind teeth benefit from reinforced coverage and improved bite comfort.

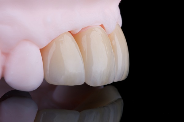
Crown materials and best uses

Material choice shapes durability, esthetics, and long-term value for a dental crown. The summary below outlines strengths and best uses.

  • Porcelain-fused-to-metal (PFM): Durable and time-tested, suitable for molars; modern porcelains improve translucency while metal supports strength.
  • All-ceramic zirconia: High strength for posterior teeth, excellent biocompatibility, and minimal chipping; monolithic options limit fracture risk.
  • Lithium disilicate (e.max): Attractive translucency for front teeth and premolars; balances beauty with reliable strength.
  • Full gold: Exceptional longevity and gentle wear on opposing teeth; a smart choice when appearance matters less.

During planning, the dentist evaluates enamel support, parafunction, and smile-zone demands to select the best fit. Clear priorities lead to a crown that looks natural, functions comfortably, and endures for years.

Treatment steps

The visit begins with a clinical exam and imaging. The dentist numbs the area, shapes the tooth, and captures a digital scan or impression. A dental crown requires precise margins, so the team refines the preparation and confirms bite support. Many offices place a temporary crown while a lab fabricates the final restoration, then the team cements the finished crown at a second visit. Same-day CAD/CAM systems mill a ceramic crown in a single appointment when anatomy and material selection allow.

Costs, insurance, and value

Fees vary with material, tooth location, laboratory quality, and local market factors. Typical ranges span $1,000 to $2,500 per tooth before insurance. Insurers often cover 40–80 percent after the deductible when treatment meets medical necessity and frequency rules. Preauthorization clarifies benefits and helps prevent surprises. When a tooth needs more than a filling or onlay, a dental crown often restores function sooner and lowers the risk of fractures that lead to emergencies or root canal treatment.

Care, comfort, and longevity

Daily habits protect the margin where plaque accumulates first. Brush twice daily with a fluoride toothpaste, and clean between teeth with floss, interdental brushes, or water flossers. A nightguard shields crowns from grinding forces and preserves porcelain. Avoid chewing ice, hard candies, or pens to limit microfractures. Schedule regular professional cleanings and bite checks, especially after new dental work.

Short-term sensitivity can occur after preparation, usually from inflamed dentin. Report lingering sensitivity or a high bite so the dentist can adjust contacts and reduce stress on the tooth. Address gum inflammation quickly, since puffy tissue traps plaque around margins. With excellent care, a dental crown often serves 10 to 15 years, and many last longer.

Consider alternatives during planning. In some cases, an onlay preserves more enamel while restoring strength. Veneers improve color and shape for front teeth with minimal reduction. However, a dental crown offers full-coverage protection when cracks, deep decay, or large fillings weaken the structure. Discuss timeline, maintenance, and long-term risk with the dentist. Clear comparisons prevent surprises and align the choice with chewing demands, esthetic goals, and budget so treatment delivers comfort, durability, and value over time.

Red flags that need attention

Patients should contact the office if a crown feels loose, traps food, or chips along an edge. Early evaluation protects the tooth and prevents decay under the margin. If a temporary crown dislodges, the patient can reinsert it gently with a small amount of toothpaste and contact the dental team for secure recementation.

Thoughtful planning, skilled technique, and consistent home care create reliable outcomes. A well-made dental crown restores strength, supports confident chewing, and improves appearance while protecting the tooth for years. Regular follow-ups protect the investment and sustain long-term health. For more information or to schedule an appointment, call our office at (239) 465-4999.

To schedule a consultation, please request an appointment on our website at https://www.islandparadisedental.com or call Island Paradise Dental at (239) 465-4999 to arrange an appointment at our Marco Island office.

Check out what others are saying about our dental services on Yelp: Dental Crowns and Dental Bridges in Marco Island, FL.

Related Posts

Dental Crown Vs. Filling: Which Is The Better Option?

A dental crown supports and protects a weakened tooth when a filling no longer provides enough coverage or strength. Many patients compare these two restorations and want to understand when each one is recommended. A careful evaluation helps determine the best option for long-term comfort, stability, and oral health. Factors such as decay size, tooth…

Implant Crowns: The Key To Restoring Missing Teeth

An implant crown is one of the most popular solutions for replacing a missing tooth, as it restores optimal function and aesthetics. Unlike traditional crowns that rely on existing teeth for support, an implant crown is securely attached to a dental implant, which acts as an artificial tooth root. While this tooth replacement is an…

The Steps Of A Dental Crown Restoration

A dental crown restoration involves two dental visits. Dentists use this type of restoration to repair a range of tooth damage types, including decay, chips, cracks, and teeth worn down by continuous grinding. This guide discusses what you can expect during a dental crown restoration and how a dentist can help ensure a safe and…

How Dental Crowns Can Give You A New Smile

Anyone who has had dental crowns understands how beneficial they can be. Crowns are highly durable and work to improve the look of teeth, restoring a person's smile. A crown is often used to prevent a damaged tooth from deteriorating further. Others may need a crown to complete a bridge or implant treatment. A dental…